Our Services

Discover our comprehensive range of dental services, from preventive care to advanced treatments, all delivered with expertise and care.

Dental Implant

Dental Implant

Dental implants are permanent solutions to replace missing teeth. They function and look like natural teeth, providing stability, durability, and improved oral health. Ideal for single or multiple tooth replacements. Implants prevent bone loss and preserve facial structure. Treatment is safe, predictable, and long-lasting.

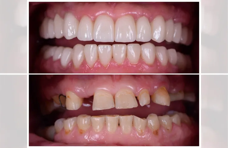
Full Mouth Rehabilitation

Full Mouth Rehabilitation

Full mouth rehabilitation restores function and aesthetics for patients with multiple dental issues. It includes crowns, bridges, implants, and more. This treatment is customized based on your oral condition. It improves bite, speech, and overall facial appearance. Ideal for worn, broken, or missing teeth.

Smile Makeover

Smile Makeover

A smile makeover transforms your smile using cosmetic dental procedures. Treatments may include veneers, teeth whitening, and aligners. Designed to enhance facial harmony and boost confidence. Each makeover is customized for optimal results. Suitable for stained, chipped, or uneven teeth.

Root Canal Treatment

Root Canal Treatment

Root canal therapy treats infected tooth pulp and saves natural teeth. It involves cleaning, disinfecting, and sealing the canals. Prevents extraction and relieves pain. Done under local anesthesia with minimal discomfort. Helps maintain long-term oral health.

CBCT (3D Dental Imaging)

CBCT (3D Dental Imaging)

Cone Beam CT (CBCT) provides detailed 3D imaging of teeth, bones, and soft tissues. Essential for accurate diagnosis and treatment planning. Commonly used in implant planning, orthodontics, and oral surgery. Safe and quick scan with minimal radiation. Enhances precision and outcomes.

Crown & Bridges

Crown & Bridges

Crowns and bridges restore damaged or missing teeth. Crowns cover and protect weak teeth, while bridges fill gaps using adjacent teeth for support. Made from durable, aesthetic materials like porcelain or zirconia. Improves function and appearance. Long-lasting solution for better oral health.

Aligners

Aligners

Pediatric aligners gently correct teeth alignment in children. Custom-made, clear trays ensure comfort and effectiveness. Suitable for early-stage correction without metal braces. Promotes proper jaw development and facial balance. Easy to maintain and wear.

Braces Treatment

Braces Treatment

Braces align crooked or crowded teeth for a healthier smile. Available in metal, ceramic, and invisible options. Improves bite, speech, and dental function. Suitable for children and adults. Results in straighter teeth and boosted confidence.

Wisdom Tooth Removal

Wisdom Tooth Removal

Wisdom tooth extraction is performed when third molars are impacted or painful. Safe, quick, and usually done under local anesthesia. Prevents crowding, infection, and jaw pain. Post-surgery care ensures quick recovery. Recommended by dentists for long-term oral health.

Oral Cancer Detection

Oral Cancer Detection

By appearing Red and white patches in gums and check, not healing for more than 2 weeks, not resolved by medication. An experienced dentist can easily identify suspectful lezim. Incisional biospy takes of the site and sent for histopathology in pathology lab for confirmation